본문 바로가기
건강 정보

폐에 물이 찼을때 치료방법

by tony-토니 2025. 2. 11.
반응형

호흡곤란과 가슴 답답함을 느끼셨다면, 단순한 피로나 감기가 아닐 수 있습니다. 폐에 물이 차는 증상(흉수, 폐수종)은 신속한 치료가 필요하며, 방치할 경우 생명을 위협할 수 있습니다.

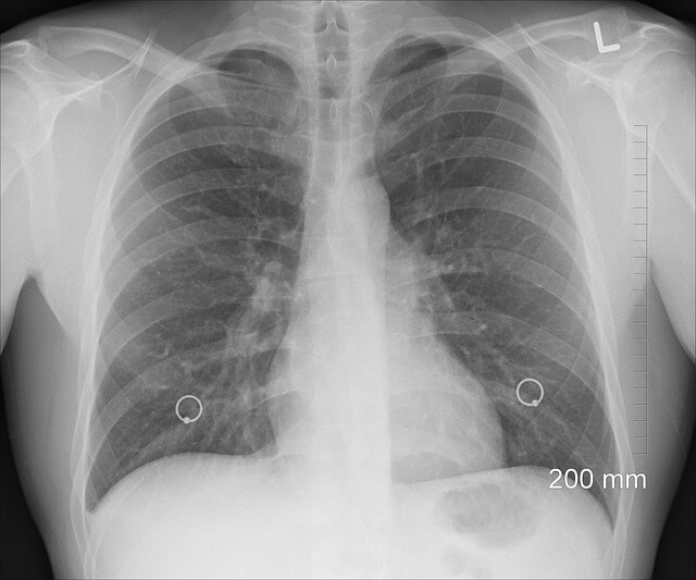
폐에 물이 찼을때 치료방법
폐에 물이 찼을때 치료방법

👉 폐에 물이 찼을 때 응급처치 방법

 

조기에 적절한 치료를 받는 것이 매우 중요합니다. 하지만 많은 사람들이 초기 증상을 가볍게 여기고 방치하다가 병이 심해져 응급실을 찾는 경우가 많습니다.

 

그렇다면 폐에 물이 차는 원인과 치료법은 무엇일까요? 지금부터 폐수종과 흉수의 치료 방법을 상세히 알아보겠습니다.

👇오늘 폐에 물이 찼을 때 치료 방법 아래 내용에서 확실하고 정확하게 알아가세요! 👇

폐에 물이 찼을 때 치료가 중요한 이유

폐에 물이 차는 현상은 폐수종(Pulmonary edema) 또는 흉수(Pleural effusion)로 불리며, 폐나 흉막 공간에 과도한 체액이 축적되는 상태입니다. 신속한 치료가 없으면 호흡부전으로 이어질 수 있습니다.

 

폐에 물이차는 증상 자가진단 방법

폐에 물이 찼을 때 치료 방법

폐에 물이 차면 원인을 정확히 파악한 후 치료를 진행해야 합니다. 가장 효과적인 치료 방법은 다음과 같습니다.

  • 이뇨제 치료 - 과도한 체액을 제거하여 폐에 쌓인 물을 줄이는 방법
  • 산소 치료 - 저산소증을 예방하기 위해 산소 공급
  • 흉수 배액술 - 흉막 내에 찬 물을 직접 제거하는 시술
  • 원인 질환 치료 - 심부전, 폐렴, 신장질환 등 기저 질환을 치료
  • 식이 조절 - 저염식과 수분 섭취 조절이 필수

흉수 배액술이 필요한 경우

흉수(폐 주변에 물이 찬 상태)가 심하면 흉수 배액술이 필요할 수 있습니다.

치료 방법 설명 비고
흉수 배액술 흉부에 카테터를 삽입하여 물을 제거 심한 경우 필요
흉막 유착술 흉막 사이의 공간을 막아 재발 방지 재발 방지를 위해 사용

폐에 물이 찼을 때 치료 후 관리

폐에 물이 찼을때 치료방법 2

  • 저염식 유지 - 체내 수분 조절이 중요
  • 규칙적인 운동 - 혈액순환 개선 및 폐 기능 강화
  • 금연 및 금주 - 폐 건강을 유지하는 필수 조건
  • 정기적인 건강검진 - 심부전, 신장질환이 있는 경우 정기적인 검사 필수

폐에 물이 찼을 때 치료 방법 총정리

012345678910111213
폐에 물이 찼을때 치료방법 3

  • 폐에 물이 찼을 경우 조기 치료가 필수
  • 이뇨제, 산소 치료, 흉수 배액술 등의 치료법이 있음
  • 흉수 배액술이 필요한 경우 전문의 상담이 필수
  • 치료 후 재발 방지를 위해 저염식, 운동, 건강관리 필요

질문 QnA

폐에 물이 찼을 때 응급상황인가요?

호흡곤란이 심하면 즉시 응급실을 방문해야 합니다.

더보기

더 보기

01234567891011121314
폐에 물이 찼을때 치료방법 4

 

 

반응형